杏吧原创

科学研究

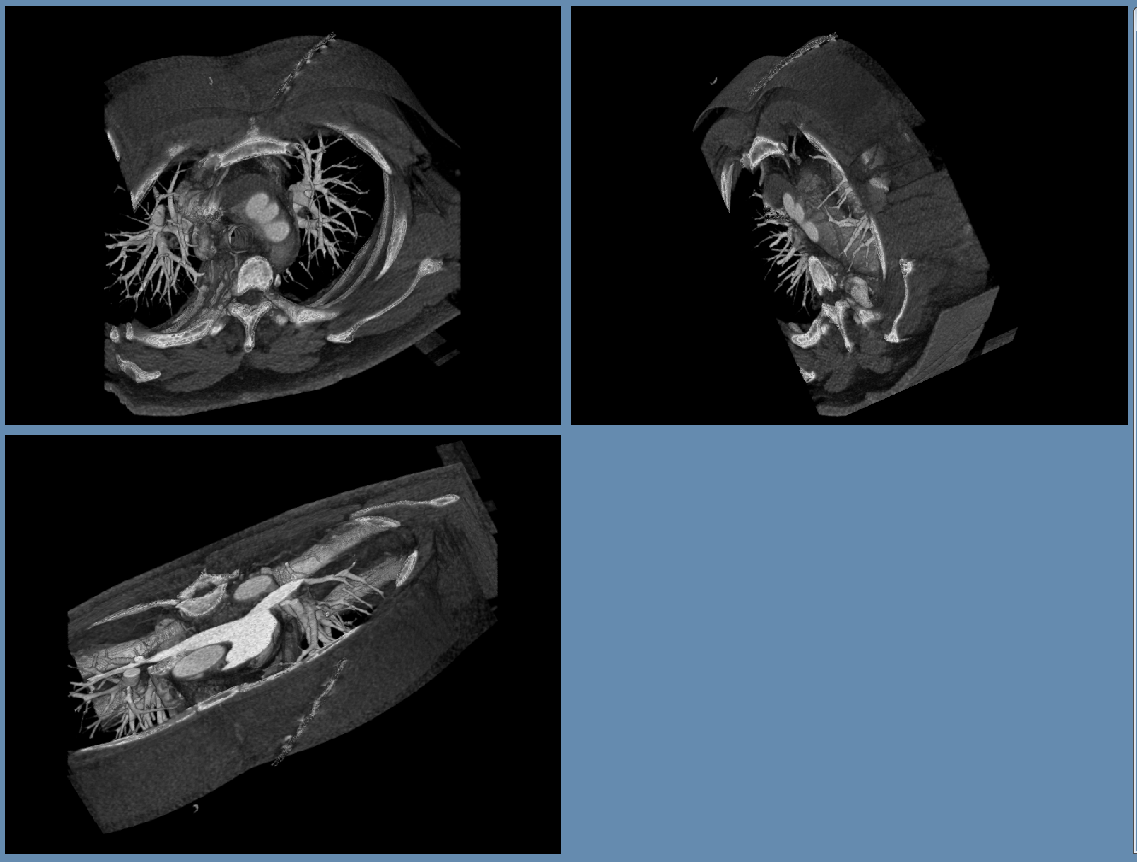
基于数据挖掘的虚拟人体造型技术及其在医学图像处理系统中的应用

2020年06月29日科研成果

本成果围绕虚拟人体造型技术中碰到的重点和难点问题展开研究,具体解决了:1)充分挖掘影像数据中蕴涵的信息,利用影像数据和蕴涵信息提高数据的精度和密度;2)在信息挖掘的基础上构造虚拟人体模型,使其具有高的精度和简洁的数学表示形式;3)切片图像的高精度快速放缩,使放大后的图像细节清晰,具有尽可能小的马赛克现象;4)图像的快速传输问题。

本成果最大限度地利用了CT、MRI等医学影像数据提供的有用信息,实现人体从宏观到微观结构的数字化以及对人体器官的正确模拟,帮助医生进行计算机辅助诊断、制定内外科手术规划、分析病变组织的结构和发生发展过程,从而提高医生对疾病诊断和治愈的准确性,对医学临床诊断和治疗有重大的意义。

62E51

依据研究结果实现具有国际先进水平的自主知识产权的医学影像处理系统,可应用于各种类型医院的CT等影像科室,也可应用于虚拟解剖实验室的教学。本系统已在省内外几十家不同级别的医院推广使用,极大地节省了生成影像图片所需的成本费用和保存影像图片所需的管理费用,几年来累计节省费用近亿元,具有很好的社会效益和经济效益。undefined


上一条:通过三维重建与评价学习中国传统书法艺术 下一条:模糊聚类及表示学习在肺部肿瘤辅助诊断中的研究与应用

关闭